Metamorfozy w Loftdent

Poznaj niezwykłe metamorfozy uśmiechów naszych pacjentów! Specjalizujemy się w kompleksowym leczeniu, a imponujące efekty
są rezultatem współpracy całego naszego zespołu specjalistów.

CAŁKOWITA UTRATA UZĘBIENIA

W przypadku całkowitej utraty uzębienia istnieje możliwość rekonstrukcji zgryzu za pomocą protez ruchomych zakotwiczonych na implantach. Rozwiązanie takie pozwala na ograniczenie ilości zastosowanych implantów, a co za tym idzie obniża koszty i rozległość zabiegu. Wskazane jest również w przypadku osób z ograniczonymi możliwościami wykonywania zabiegów higienicznych wewnątrz jamy ustnej.
Leczenie polegało na założeniu 4 implantów w szczęce oraz 2 implantów w żuchwie.
Zabieg implantacji został przeprowadzony przez
dr n. med. Tomasz Nowak.
No okres wygajania implantów zastosowano protezy tymczasowe, tak aby bezpośrednio po zabiegu Pacjent posiadał funkcjonalne uzębienie. Po 6 miesiącach wykonano belkę na implantach górnych oraz zastosowano system Locator na implantach dolnych. Oba te rozwiązania służą zakotwiczeniu ruchomych protez zębowych znacznie polepszając ich stabilizację na podłożu protetycznym. Część protetyczna została wykonana przez lek. Dent. Błażej Podolak.

REKONSTRUKCJA ZŁAMANEGO SIEKACZA

W przypadku uszkodzenia zęba siecznego – jeżeli nie dojdzie do uszkodzenia miazgi zęba i ząb pozostanie żywy istnieje możliwość jego rekonstrikcji za pomocą materiałów kompozytowych. Jest to metoda mało inwazyjna, pozwala w wysoce estetyczny sposób zrekonstruować utracone tkanki zęba. Zabieg wykonany przez lek. Dent. Błażej Podolak

UTRATA POJEDYNCZEGO ZĘBA

W przypadku utraty pojedynczego zęba najkorzystniejszą metodą leczenia jest zabieg implantacji a następnie rekonstrukcja tego zęba z zastosowaniem wszczepionego implantu. Zabieg implantacji w pozycji 12,44 został przeprowadzony przez dr n. med. Tomasz Nowak. Rekonstrukcja protetyczna wykonana przez lek. Dent. Błażej Podolak

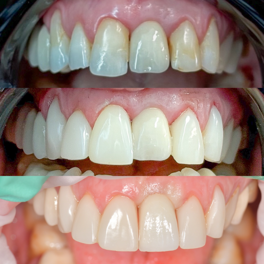
BONDING

Wykonany został Bonding autorstwa dr n.med. Aleksandry Kalandyk-Konstanty oraz wymiana korony pełnoceramicznej na implancie w wykonaniu lek. dent Błażeja Podolaka. 1 zdjęcie – przed 2 zdjęcie – po Bondingu, ale jeszcze ze starą koroną na implancie 3 zdjęcie – finalny efekt całości wraz z nową koroną

LOFT DENT SPÓŁKA Z OGRANICZONĄ ODPOWIEDZIALNOŚCIĄ z siedzibą w Krakowie, Chełmska 14, 30-236 Kraków, wpisana do rejestru przedsiębiorców prowadzonego przez Sąd Rejonowy dla Krakowa Śródmieścia w Krakowie, XI Wydział Gospodarczy KRS pod nr 0000973432, wysokość kapitału zakładowego: 5.000,00 zł.

Pozostałe strony

Ważne linki

Obserwuj nas

Godziny otwarcia gabinetu

Znajdź nas
© 2024 Created by NoMaybes